sexybrai™
Startseite > Gesundheit & Wohlbefinden > Zahnreparatur Lösung
Das Geheimnis fester Zähne: Warum eine teure Zahnfleisch-OP oft gar nicht nötig ist

4.629 Bewertungen
24. März 2026




Präsentiert von Dr. Hanna Lindahl
Du hast den Zahnfleischrückgang monatelang ignoriert, in der Hoffnung, dass er einfach aufhört. Aber er hat nicht aufgehört.
Und jetzt sitzt du in der Praxis eines Parodontologen und versuchst, Begriffe wie Bindegewebstransplantat, wochenlange Genesung und Zahlen zu verarbeiten, die eher nach einem Gebrauchtwagen als nach einem zahnärztlichen Eingriff klingen.
Sie sprechen davon, Gewebe vom Gaumen zu entnehmen. Von Nähten. Von flüssiger Ernährung. Trotzdem warnen sie, dass es keine Garantie gibt, dass es anwächst.
Und alles, woran du denken kannst, ist, dass es zuerst eine andere Option geben muss.
Wie es anfängt (und wie schnell es schlimmer werden kann)

Als dein Zahnarzt zum ersten Mal "Zahnfleischrückgang" erwähnte, klang es überschaubar, wie etwas, das jedem irgendwann passiert.
Aber niemand sagt dir, wie schnell es voranschreitet.
Eines Tages bemerkst du ein kleines Stück freiliegende Wurzel an einem Zahn. Sechs Monate später sehen drei weitere Zähne genauso aus. Jetzt meidest du kalte Getränke, weil dieser scharfe Stich direkt durch deine Zähne geht, und du siehst mehr von deinem Zahn, als du jemals sehen wolltest.
Jetzt liest du um 2 Uhr morgens Reddit-Threads, scrollst durch Geschichten von Leuten, die 20.000 € für Transplantate ausgegeben haben, die gescheitert sind. Leute, die wochenlang weiche Nahrung und Schmerzen durchgemacht haben, nur um zu sehen, wie der Rückgang sechs Monate später zurückkam.
Du liest diese Bewertungen und fragst dich, wie du dein Zahnfleisch schützen kannst, ohne deine Ersparnisse auf einen Eingriff zu setzen, der vielleicht nicht mal funktioniert
Die Kostenpanik trifft anders

Der Zahnarzt sagt: "Lass uns das beobachten" oder "Wir können einen Beratungstermin vereinbaren." Also wartest du.
Aber zuzusehen, wie sich dein Zahnfleisch langsam zurückzieht, ist Folter. Jeden Morgen kontrollierst du im Spiegel. Ist es schlimmer? Ist über Nacht ein weiterer Millimeter verschwunden? Du fängst an zu vermeiden, mit sichtbaren Zähnen zu lächeln, weil du überzeugt bist, dass die Leute sehen können, was passiert.
Die Kostenangst macht alles schlimmer.
Du hast drei verschiedene Parodontologen angerufen, und die Zahlen reichen von 10.000 € bis 40.000 €, je nachdem, wie viele Zähne behandelt werden müssen. Deine Versicherung übernimmt vielleicht einen Teil, wenn du nachweisen kannst, dass es "medizinisch notwendig" und nicht "kosmetisch" ist.
Währenddessen liest du Genesungsberichte, in denen erwähnt wird, dass sie wochenlang nicht in Essen beißen konnten und wie die Schiene wehtat, als sie entfernt wurde. Manche Leute sagen, es war es wert, andere sagen, es war Geldverschwendung.
Du steckst also fest. Du hast zu viel Angst, die Operation zu buchen, und du bist zu besorgt, um nichts zu tun.
Drei Optionen, keine davon gut

Jeder sagt das Gleiche: Hol eine zweite Meinung ein und geh zu einem Parodontologen, nicht nur zu einem Allgemeinzahnarzt.
Also tust du das, und du bekommst 3 Optionen:
➔ Option 1 ist ein traditionelles Zahnfleischtransplantat, bei dem sie Gewebe von deinem Gaumen entnehmen und es über freiliegende Wurzeln nähen. Die Genesung dauert 2-4 Wochen, und die Erfolgsquote variiert. Es wird voraussichtlich 1.000–3.000 € pro Zahn kosten.
➔ Option 2 ist das weniger invasive Pinhole-Verfahren. Es ist kein Schneiden beteiligt, und es hat eine kürzere Genesungszeit. Aber nicht jeder Parodontologe führt es durch, und nicht jeder Patient kommt dafür infrage. Die Kosten sind sogar höher als beim Zahnfleischtransplantat.
➔ Option 3 ist, nichts zu tun und zu hoffen. Diese Option ist kostenlos, aber beängstigend, weil der Rückgang sich stabilisieren oder beschleunigen könnte, was dich dem Risiko aussetzt, irgendwann Zähne zu verlieren
Das Problem ist, dass sich keine dieser Optionen gut anfühlt. Die ersten beiden sind teuer und unsicher, während die dritte Option einfach Verleugnung mit zusätzlichen Schritten ist.
Was du tun kannst, während du entscheidest

Während du entscheidest, bekommen natürliche Formeln Aufmerksamkeit, weil sie das ansprechen, was du tatsächlich jetzt kontrollieren kannst: Entzündung, Bakterien und die Unterstützung des Reparaturprozesses deines Körpers.
Obwohl sie Zahnfleischrückgang nicht rückgängig machen können, unterstützen und verbessern sie die Zahnfleischgesundheit, während du Entscheidungen triffst.
Und gerade jetzt kombinieren die besten Optionen mehrere natürliche Inhaltsstoffe, weil ein Inhaltsstoff nicht alles bewirken kann.
Warum mehrere Inhaltsstoffe besser wirken

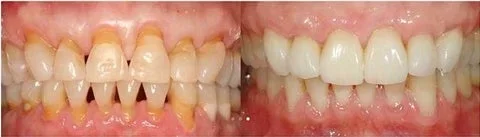
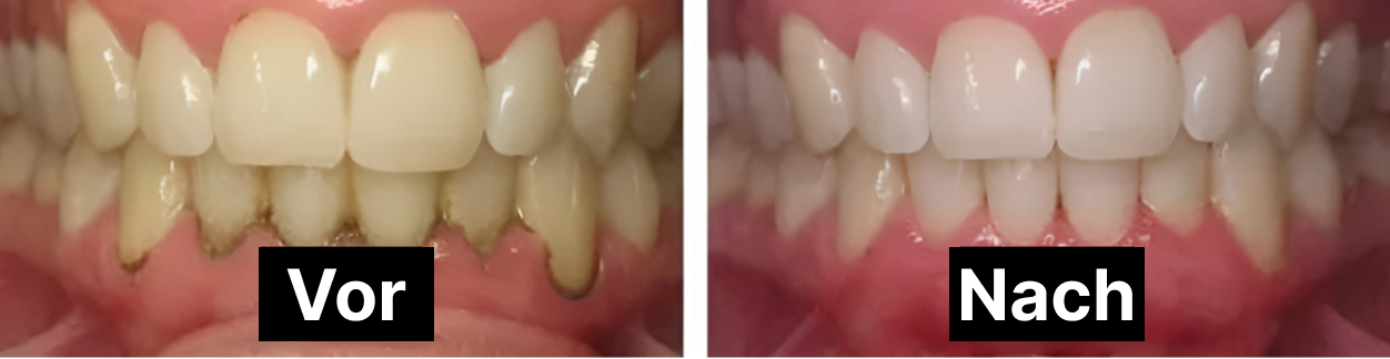
sexybrai™ Gum Fix Spray kombiniert sechs klinisch getestete Inhaltsstoffe, die zusammenarbeiten, um gesünderes Zahnfleisch und stärkere Zähne zu unterstützen.
Die wichtigsten Inhaltsstoffe im Gum Fix Spray sind:
➔ Hyaluronsäure, die das Zahnfleischvolumen wiederherstellt und die Elastizität erhöht, wodurch das Zahnfleisch voller und gesünder aussieht.
➔ Coenzym Q10 zur Reduzierung von Entzündungen und Förderung der Heilung auf zellulärer Ebene.
➔ Aloe Vera zur Beruhigung von gereiztem Gewebe und Reduzierung von Entzündungen, damit dein Zahnfleisch nicht mehr roh und empfindlich ist.
➔ Johanniskraut, das die Festigkeit des Zahnfleisches erhöht und die Gewebeanhaftung stärkt.
➔ Kamille zur natürlichen Beruhigung des Zahnfleisches und Reduzierung von Entzündungen.
➔ Vitamin C zur Wiederherstellung von geschädigtem Gewebe und Stärkung des Zahnfleisches von innen.
Zusammen schaffen diese eine Umgebung, in der dein Zahnfleisch gesünder und widerstandsfähiger sein kann.
So hast du mehr Zeit, Optionen zu recherchieren, zweite Meinungen einzuholen oder Geld für eine Behandlung zu sparen.
Drei Personen, die dort waren, wo du jetzt bist

Maria K., 42, Verifizierte Bewertung | Bewertung: ⭐️⭐️⭐️⭐️⭐️
Ich hatte drei Beratungstermine vereinbart. Die Angebote reichten von 12.000 € bis 25.000 €. Ich war wie gelähmt beim Versuch zu entscheiden, welchem Parodontologen ich vertrauen sollte und ob ich es mir überhaupt leisten konnte.
Eine Freundin erwähnte Gum Fix Spray, und ich dachte, es könnte nicht schaden, während ich entscheide.
Sechs Wochen später ist der Rückgang an meinen beiden Frontzähnen nicht schlimmer geworden. Die Empfindlichkeit ist deutlich zurückgegangen. Bei meiner Nachsorge-Reinigung bemerkte die Dentalhygienikerin, dass mein Zahnfleisch gesünder aussah.
Ich brauche vielleicht irgendwann noch ein Transplantat, aber zumindest gerate ich nicht in Panik, wenn ich zusehe, wie es jede Woche schlimmer wird. Und ich habe mir Zeit gekauft, um Geld zu sparen und den richtigen Chirurgen zu recherchieren.

Thomas B., 38, Verifizierte Bewertung | Bewertung: ⭐️⭐️⭐️⭐️⭐️
Ich habe die Natron-Hausmittel ausprobiert, das Ölziehen und die teure verschreibungspflichtige Mundspülung, aber nichts hat sich geändert. Ich war auf der Suche nach Parodontologen und fürchtete die Kosten, als ich dieses Spray fand.
Schau, ich sage nicht, dass es Magie ist. Aber nach zwei Monaten hörte mein Zahnfleisch auf zu bluten, wenn ich Zahnseide benutzte. Der Rückgang an meinen unteren Frontzähnen sieht stabilisiert aus. Ich beobachte es immer noch, aber ich habe das Gefühl, jetzt etwas Kontrolle zu haben, anstatt nur zuzusehen, wie es schlimmer wird.

Sophie L., 29, Verifizierte Bewertung | Bewertung: ⭐️⭐️⭐️⭐️⭐️
Die Scham war das Schlimmste. Ich bin 29, und mein Zahnfleisch zog sich zurück, als wäre ich 60. Es war mir zu peinlich, auf Fotos zu lächeln. Zu pleite für eine Operation (8.000 € für drei Zähne veranschlagt).
Ich fand Gum Fix Spray in einem Reddit-Thread, wo Leute nicht-chirurgische Optionen teilten. Nach zwei Monaten sieht mein Zahnfleisch gesünder aus. Die freiliegenden Wurzeln sind nicht mehr so empfindlich.
Mein Zahnarzt war überrascht über die Verbesserung. Ich bin noch nicht über den Berg, aber ich drehe auch nicht mehr durch.
Zweimal täglich ist alles, was du brauchst

Im Gegensatz zu anderen "Zahnfleischgesundheit"-Produkten wie den Zahnpasten und Gels, die nicht dort bleiben, wo du sie brauchst, und der verschreibungspflichtigen Mundspülung, die nach Chemikalien schmeckt, funktioniert das sexybrai™ Gum Fix Spray besser für bestimmte Bereiche.
Du kannst genau dort zielen, wo der Rückgang stattfindet, nicht nur im ganzen Mund herumspülen. So gelangen aktive Inhaltsstoffe direkt zum Zahnfleischgewebe und werden nicht durch Speichel verdünnt.
Schüttle die Flasche einfach sanft und sprühe 2-3 Mal direkt auf Zahnfleisch und Zähne nach dem Zähneputzen, zweimal täglich. Iss, trink oder spüle deinen Mund 30 Minuten nach der Anwendung nicht aus.
Wöchentlicher Fortschritt, auf den du achten kannst

Konsequente Anwendung des Sprays sieht so aus:
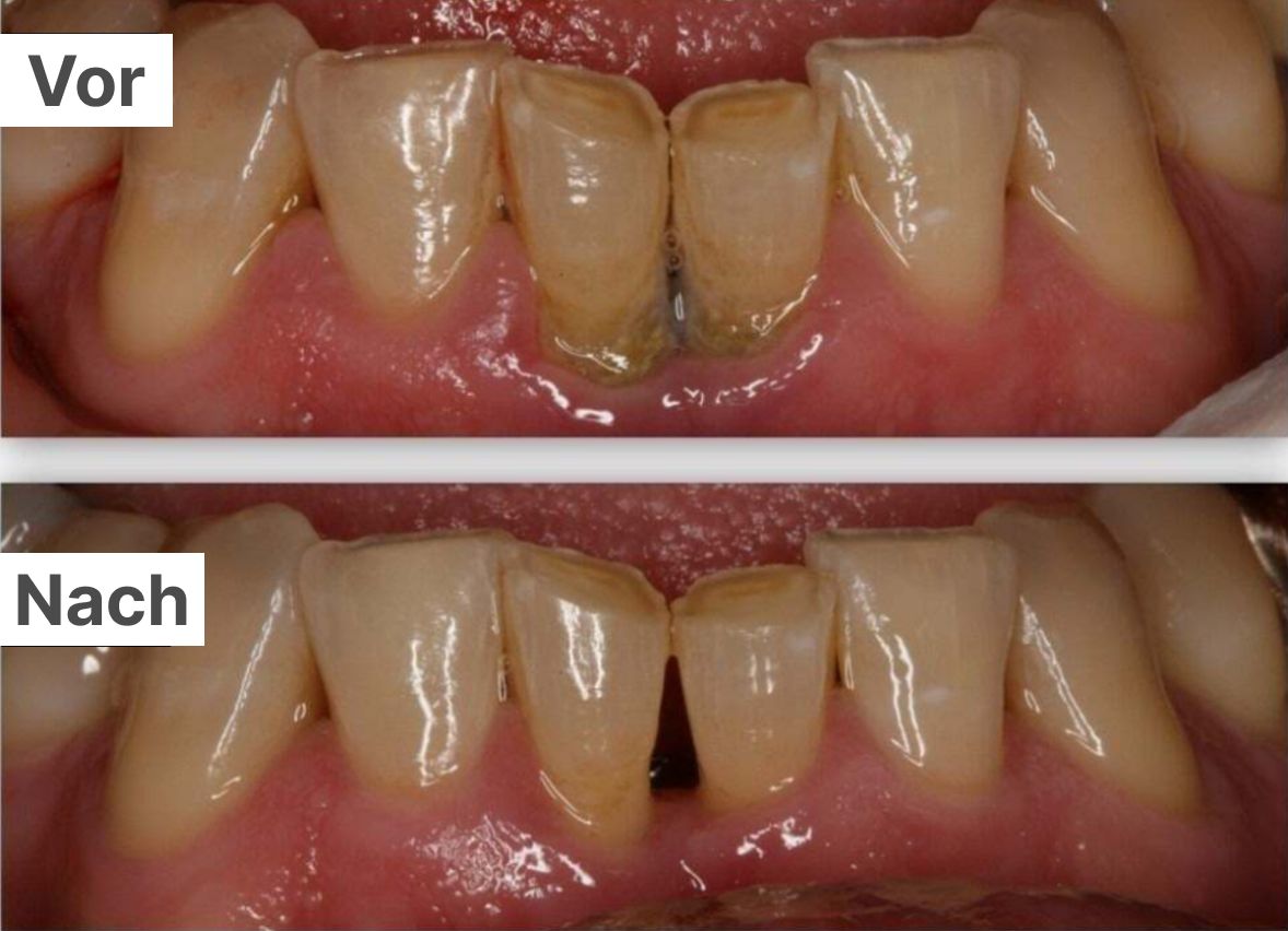
➔ Woche 1: Das Zahnfleisch fühlt sich weniger empfindlich und entzündet an, während Blutungen beim Zähneputzen abnehmen. Du siehst noch keine visuellen Veränderungen, aber das Gewebe fühlt sich gesünder an.
➔ Wochen 2-3: Die Empfindlichkeit gegenüber Kälte/Hitze verbessert sich merklich. Du kannst kaltes Wasser trinken, ohne diesen scharfen Stich, und dein Zahnfleisch hört vollständig auf zu bluten, wenn du Zahnseide benutzt.
➔ Wochen 4-6: Du solltest anfangen, Veränderungen zu sehen. Der Rückgang sieht nicht schlimmer aus (was allein schon riesig ist), und das Zahnfleisch erscheint rosiger und gesünder. Das Gewebe sieht widerstandsfähiger aus statt dünn und rot.
➔ Wochen 8-12: In einigen Fällen zeigen kleinere Rückgangsbereiche Verbesserung. Kein vollständiges Nachwachsen, aber gesündere Anhaftung und weniger sichtbare Wurzel. Schwerer Rückgang verschwindet nicht, aber alles stabilisiert sich und sieht gesünder aus, was möglicherweise das Ausmaß der erforderlichen Transplantation reduziert.
Deine Geld-zurück-Garantie

Du kannst weiter warten und hoffen, dass der Rückgang von selbst aufhört. Du kannst dieses 15.000 € Transplantat planen und die Daumen drücken, dass es funktioniert. Oder du kannst einen Schritt tun, der sich jetzt überschaubar anfühlt.
sexybrai™ Gum Fix Spray ist kein Wunderprodukt, aber es ist ein täglicher Unterstützungsschritt für Menschen, die:
Zeit brauchen, um für eine professionelle Behandlung zu sparen
Zuerst nicht-chirurgische Unterstützung ausprobieren möchten
Angst vor dem Scheitern des Eingriffs haben
Von chirurgischen Angeboten überwältigt sind
Einfach etwas Kontrolle über das haben wollen, was passiert
Du bekommst auch eine 90-Tage-Geld-zurück-Garantie. Das bedeutet, dass du dein Geld zurückbekommst, wenn du innerhalb von 90 Tagen keine Verbesserung der Zahnfleischgesundheit siehst. Keine Formulare oder Umstände.
Das existiert, weil die Formel in seltenen Fällen nicht bei jedem funktioniert. Wenn das passiert, bist du kein Geld los.
Was du jetzt tun kannst
Ein Zahnfleischtransplantat kostet 1.000-3.000 € pro Zahn. Das Pinhole-Verfahren kostet 2.000-4.000 € oder mehr.
Selbst wenn dieses Spray dir nur drei Monate Stabilisierung verschafft, während du Geld sparst und Chirurgen recherchierst, ist das es wert.
Und wenn es dir hilft, das Transplantieren ganz zu vermeiden oder zu reduzieren, wie viele Zähne behandelt werden müssen, sparst du Tausende.
In acht Wochen könnte sich dein Zahnfleisch gesünder anfühlen, besser aussehen und aufhören, schlimmer zu werden. Oder du könntest immer noch hier sitzen und Online-Foren durchscrollen, dem Fortschreiten des Rückgangs zusehen und Beratungen aufschieben, weil dich die Angebote erschrecken.
Überprüfe die aktuelle Verfügbarkeit und Preise auf ihrer Website.
Kommentare

Wilma Becker
Hallo, Hanna. Super!!! Vielen Dank für diesen Artikel, er erinnert mich an meine eigene Geschichte… Und dieses Spray hat mir auch geholfen. Es hat mich und mein Zahnfleisch wirklich gerettet.

Linda Schmidt
Wilma Dieses Produkt ist fantastisch! Ich habe gerade angefangen, Gum Fix Spray zu benutzen, und ich merke schon einen Unterschied! Mein Zahnfleisch fühlt sich stärker an und die Schmerzen sind deutlich zurückgegangen. 🌟 Hoffentlich hilft es dir auch.

Doris Hoffmann
Ich habe meines zum vollen Preis gekauft, und jetzt gibt es 50 % Rabatt? Das ist so unfair!

Skyler Meyer
Wie lange dauert die Lieferung?

Marie Karlsson
Hallo Skyler, ich habe meines nach einer Woche erhalten.

Leonard Zimmermann
Ich benutze dieses Spray jetzt seit etwa 4 Wochen und bin einfach so zufrieden mit den Ergebnissen. Das Foto ist der beste Beweis für die Veränderung.


Emma Schulz
Hey Anna, das ist genau das, was du brauchst, anstatt teure Behandlungen.

Anna Berg
Wow, das ist verrückt, ich habe gerade eines bestellt!

Jonas Wolf
Hast du eines gekauft? Wie lange dauert es, es zu bekommen?

Clara Larsson
Bei mir hat es 4 Werktage gedauert.

Debora Olsson
Nach 2 Wochen Anwendung habe ich schon sichtbare Ergebnisse gesehen. Vielen Dank :)


Paula Anders
Wow, das sieht großartig aus. Hat jemand es tatsächlich ausprobiert und Ergebnisse gesehen?

Maximilian Schneider
Ja, ich habe es gekauft, weil ich schon so viele Produkte ausprobiert habe, aber nichts hat so funktioniert wie dieses. Mein Zahnfleisch um einen meiner Zähne ist jetzt deutlich besser und ich habe keine Schmerzen mehr!


Agnes Müller
Ich habe gerade bestellt! Ich freue mich schon darauf, es zu bekommen.

Barbara Hölm
Hallo. Ich benutze dieses Spray jetzt seit 10 Tagen… Ich bin absolut sprachlos! Vielen Dank!

Harry Gustavsson
Kann mir jemand sagen, wie lange es dauert, bis man Ergebnisse sieht? Ich habe gerade meine Flasche bekommen und bin so gespannt, anzufangen!

Brigitte Neumann
Ich liebe es wirklich!

Anna Wagner
An alle, die zweifeln: Gebt dem eine Chance. Die 60-Tage-Garantie hat mich überzeugt, und ich bereue es nicht. Mein Zahnfleisch hat sich noch nie so gut angefühlt. Vielen Dank an das Unternehmen, das dies möglich gemacht hat.


Clara Klein
Endlich ein Zahnpflegeprodukt, das das Zahnfleisch tatsächlich stärkt, ohne zu reizen! Ich liebe die Ergebnisse bisher mit Gum Fix Spray!

Mia Schmidt
OMG, ich weiß! Ich bin so froh, dass sie heute noch welche hatten. Ich musste sofort bestellen, bevor sie wieder ausverkauft sind, genau wie beim letzten Mal.

Isabella Lund
Ich hatte die Hoffnung aufgegeben, nachdem ich verschiedene Behandlungen ausprobiert habe. Gum Fix Spray ist das erste Produkt, das tatsächlich einen spürbaren Unterschied für mein Zahnfleisch macht!

Die Aussagen auf dieser Website wurden nicht von den zuständigen Aufsichtsbehörden überprüft. Die hier verkauften Produkte sind nicht dazu bestimmt, Krankheiten zu diagnostizieren, zu behandeln, zu heilen oder vorzubeugen. Die von dieser Website oder diesem Unternehmen bereitgestellten Informationen ersetzen keine persönliche Beratung mit Ihrem Arzt und sollten nicht als individuelle medizinische Beratung ausgelegt werden…
©sexybrai. All rights reserved.

